General Harley Davidson Chat Forum to discuss general Harley Davidson issues, topics, and experiences.
Sponsored by:
Sponsored by:

Getting old, not for chickens.

Thread Tools
 
Search this Thread
 
Old Nov 5, 2025 | 01:10 PM
  #1  
MesquiteFLD's Avatar
MesquiteFLD
Thread Starter
|
Road Master
Veteran: Navy
Photoriffic
Community Builder
Liked
Joined: Feb 2025
Posts: 913
Likes: 865
From: Mesquite Nevada
Default Getting old, not for chickens.

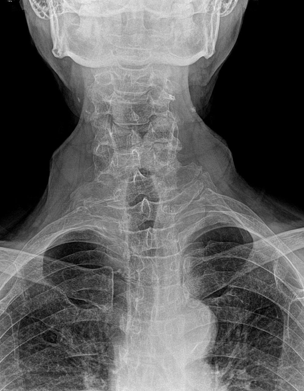
Been having neck, shoulder, arm and hand pain. Found a good Chiropractor X-ray revealed C5/C6 totally compressed. Also part of a vertebrae was broken off. Last year I was carrying a heavy item and backed into edge of a shelf, hurt like hell but did not think I broke something. As long as I can keep riding I'll be good.

 
Reply
Old Nov 5, 2025 | 01:13 PM
  #2  
Orng48's Avatar
Orng48
Club Member
5 Year Member
Joined: Feb 2021
Posts: 506
Likes: 372
From: Dixie
Riders Club Member
Default

You youngsters need to be more careful...it doesn't get any easier from here on out...

 
Reply
Old Nov 5, 2025 | 01:30 PM
  #3  
Goldstar225's Avatar
Goldstar225
Tourer
Liked
Loved
Community Favorite
Top Answer: 1
Joined: Jun 2020
Posts: 409
Likes: 392
From: Central Arkansas
Default

I had a disk between C5-6 herniate 30 years ago. Lost use of my left arm and considerable pain. I had surgery with a cadaver bone graft to replace the disk and a metal plate screwed in to connect C5-6. I had immediate pain relief and I regained 90-95% use of the arm. Residual nerve damage accounted for the rest.
 
Reply
Old Nov 5, 2025 | 02:23 PM
  #4  
Oko's Avatar
Oko
Club Member
Shutterbug
Liked
Loved
Community Favorite
Joined: Oct 2016
Posts: 4,507
Likes: 5,753
From: Syracuse NY
Riders Club Member
Default

I’ve got some aftermarket parts in me too……
 
Reply
Old Nov 5, 2025 | 02:31 PM
  #5  
Robertbc3141's Avatar
Robertbc3141
Road Warrior
Photogenic
Photoriffic
Community Builder
Liked
Joined: May 2025
Posts: 1,273
Likes: 642
From: Eastpointe, MI
Default

You know what they call a medical student that drops out don't you?
Why not go to a medical doctor?
 
Reply
Old Nov 5, 2025 | 03:12 PM
  #6  
MesquiteFLD's Avatar
MesquiteFLD
Thread Starter
|
Road Master
Veteran: Navy
Photoriffic
Community Builder
Liked
Joined: Feb 2025
Posts: 913
Likes: 865
From: Mesquite Nevada
Default

Originally Posted by Robertbc3141
You know what they call a medical student that drops out don't you?
Why not go to a medical doctor?
Because I am trying to avoid surgery. Some Chiro's suck but good ones can help. Lots of new treatments they offer these days, for me that is decompression. Real doctors want to cut you up as the first option.
 
Reply
Old Nov 5, 2025 | 03:16 PM
  #7  
MarlinSpike's Avatar
MarlinSpike
Road Warrior
Veteran: Coast Guard
Community Builder
Liked
Top Answer: 1
Joined: Sep 2021
Posts: 1,801
Likes: 1,268
From: Black Hills of SD
Default

Getting old is not for the timid or weak. I just did a couple of days of working on some flooring in our guest house - I feel like I have been through a fight, and lost...

We have this all wrong, you work your azz off to get to not have to work, and then you feel beat to hell if you do some hard work.

Good luck Mr. M. You going to have some bodywork done or plug along?

I broke down and went to the doctor for shoulder and knee pain - Pretty much got - "some arthritis, some tendon damage, some old age, -take some Ibuprofen when it hurts and give yourself a break when it hurts.... Ok Doc. Oh, here's a rubber band, use that to help the shoulder. Do push-ups, it's the best thing you can do to build up that shoulder muscle you have stretched out of shape.... Sure Doc.... Ibo's it is.
 
Reply
Old Nov 5, 2025 | 05:14 PM
  #8  
djl's Avatar
djl
HDF Community Team
Veteran: Army
15 Year Member
Photogenic
Liked
Joined: Jun 2006
Posts: 12,763
Likes: 2,596
From: san antonio
Community Team
Default

Originally Posted by MesquiteFLD
Because I am trying to avoid surgery. Some Chiro's suck but good ones can help. Lots of new treatments they offer these days, for me that is decompression. Real doctors want to cut you up as the first option.
See if you can find a Rolfer in your area and let him/her work on you. Google Rolfer and you will understand the suggestion.
 
Reply
Old Nov 5, 2025 | 09:25 PM
  #9  
MesquiteFLD's Avatar
MesquiteFLD
Thread Starter
|
Road Master
Veteran: Navy
Photoriffic
Community Builder
Liked
Joined: Feb 2025
Posts: 913
Likes: 865
From: Mesquite Nevada
Default

Originally Posted by djl
See if you can find a Rolfer in your area and let him/her work on you. Google Rolfer and you will understand the suggestion.

Rolfing seems a bit brutal but thanks for the suggestion.
 
Reply
Old Nov 6, 2025 | 07:08 AM
  #10  
bduds65's Avatar
bduds65
Road Warrior
Liked
Loved
Community Favorite
Top Answer: 1
Joined: Apr 2021
Posts: 1,307
Likes: 718
From: Pennsylvania
Default

A few years ago I had a severe tailbone injury. Bad bruise and luckily nothing was broken. I still have minor lower back aching - I wouldn't even call it "pain" That winter, I spent the money and got a seat redo with Mean City Cycles and wow, I was back in business! Custom padding, stitching; the whole deal. Expensive but worth every penny. I was going to do that eventually anyway, but the injury forced the issue.

Coupled with "old age" at 59, I now tend to take it easy at work and working around the house. Especially yardwork. I do some work, take a break, drink some water and perhaps have a small snack and then go again. My point is I know my limitations and "color within those lines" At the same time, I am not giving up and not going to stop. I do relax in my recliner at the end of the night and don't feel guilty about it like I once did. I get a good night's rest, recharge and go again the next day. I do not overdo it or push myself anymore.

I suppose overall I am lucky. In the past few years, I have broken my wrist and elbow with separate falls due to weather (rain and ice). Isolated situations and hopefully not the beginning of balance issues. Someday I may have to make that decision to call it quits for riding. But not today.
 

Last edited by bduds65; Nov 6, 2025 at 08:48 AM.
Reply



All times are GMT -5. The time now is 09:43 PM.